Behandlungsschwerpunkte
Unser hochspezialisiertes Team aus Ärzten, Physiotherapeuten und speziell geschultem Pflegepersonal begleitet Sie vom ersten Kontakt in unserer Sprechstunde bis zu Ihrer Entlassung. Bei Beschwerden im Hüft- und Kniegelenk erfolgt zunächst eine ausführliche Vorstellung in unserer Sprechstunde. Dort führen wir eine umfassende Diagnostik durch, aus der sich – falls erforderlich – die Notwendigkeit einer operativen Behandlung ableiten kann. Alle notwendigen Behandlungsschritte werden ausführlich mit Ihnen besprochen und in enger Abstimmung mit Ihrem Hausarzt, ggf. niedergelassenen Orthopäden sowie dem Anästhesieteam vorbereitet. Für den Erfolg Ihrer Behandlung legen wir besonderen Wert auf eine interdisziplinäre Zusammenarbeit und reibungslose Abläufe.



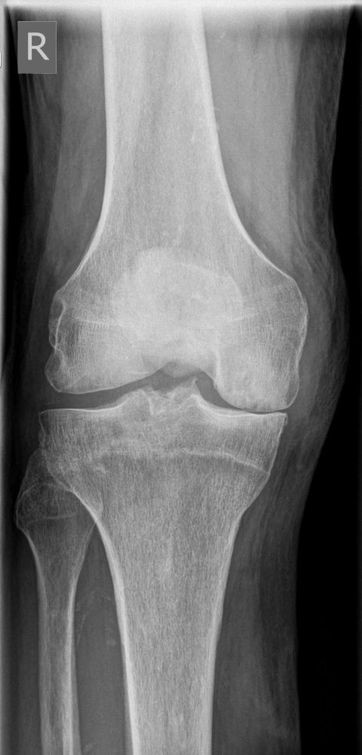
Das Kniegelenk ist das größte und eines der am stärksten belasteten Gelenke des menschlichen Körpers. Bei jeder Bewegung – Gehen, Treppensteigen, Hocken oder Stehen – wirken erhebliche Kräfte auf die Gelenkflächen von Oberschenkelknochen (Femur), Schienbein (Tibia) und Kniescheibe (Patella).
Diese Flächen sind von einer glatten Knorpelschicht überzogen, die wie ein Stoßdämpfer wirkt und ein reibungsloses Gleiten ermöglicht. Im Verlauf des Lebens kann sich dieser Knorpel jedoch abnutzen oder geschädigt werden – man spricht dann von einer Arthrose.
Die Kniegelenksarthrose (Gonarthrose) kann viele Ursachen haben. Häufig sind mehrere Faktoren beteiligt, die sich gegenseitig verstärken.
Hauptursachen und Risikofaktoren sind:
Die Symptome entwickeln sich meist schleichend und nehmen mit der Zeit zu. Typisch sind:
Die Beschwerden führen häufig zu einer deutlichen Einschränkung der Mobilität und Lebensqualität.
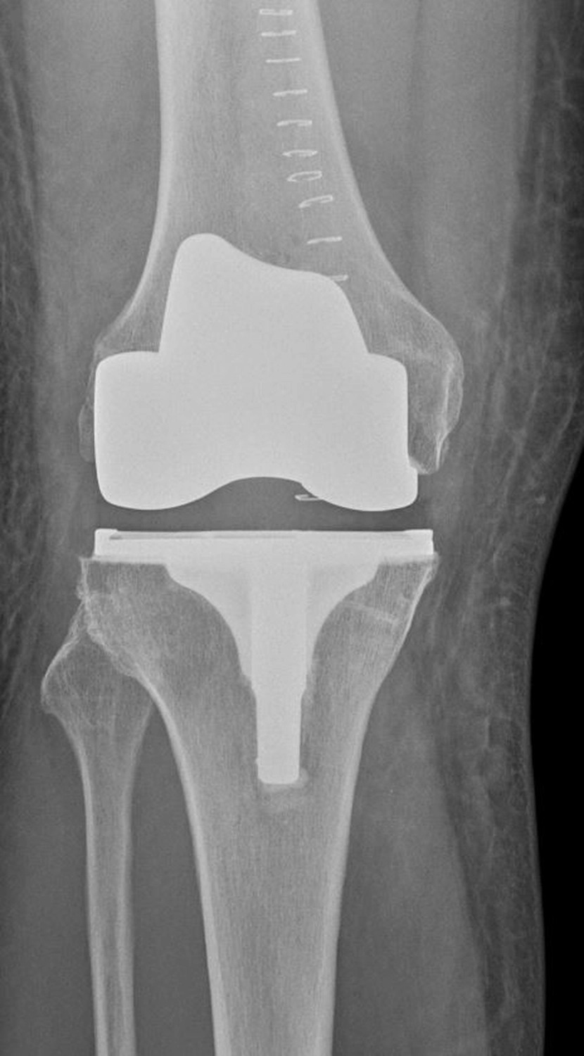
Bei der Implantation einer Knieprothese werden die zerstörten Gelenkflächen des Oberschenkel- und Schienbeinknochens millimetergenau entfernt und durch passgenaue Metallkomponenten ersetzt.
Dazwischen liegt ein hochbelastbares Kunststoffinlay, das die Gleitfläche bildet.
Je nach Schädigung und Gelenkzustand werden unterschiedliche Prothesenarten verwendet:
Die Operation dauert etwa 60 bis 90 Minuten und erfolgt unter Voll- oder Spinalanästhesie.






Im frühen und mittleren Stadium kann die Arthrose oft ohne Operation behandelt werden.
Ziel ist es, Schmerzen zu lindern, die Beweglichkeit zu erhalten und den Fortschritt der Erkrankung zu verlangsamen.
Konservative Maßnahmen umfassen:
Wenn trotz dieser Maßnahmen keine ausreichende Besserung mehr erreicht wird, kann der Einsatz eines künstlichen Gelenkes (Endoprothese) notwendig werden.
Eine Knie-Totalendoprothese (Knie-TEP) wird empfohlen, wenn:
Die Entscheidung wird stets individuell gemeinsam zwischen Patienten und Arzt getroffen.
Bei der Implantation einer Knieprothese werden die zerstörten Gelenkflächen des Oberschenkel- und Schienbeinknochens millimetergenau entfernt und durch passgenaue Metallkomponenten ersetzt. Dazwischen liegt ein hochbelastbares Kunststoffinlay, dass die Gleitfläche bildet.
Je nach Schädigung und Gelenkzustand werden unterschiedliche Prothesenarten verwendet:
Die Operation dauert etwa 60 bis 90 Minuten und erfolgt unter Voll- oder Spinalanästhesie.

Bereits am ersten Tag nach der Operation beginnt die Mobilisation mit Unterstützung durch Physiotherapeutinnen und Physiotherapeuten.
Ziel ist, das Gelenk früh zu bewegen, die Muskulatur zu aktivieren und Thrombosen vorzubeugen.
Nach dem Krankenhausaufenthalt schließt sich eine Rehabilitationsmaßnahme an (stationär oder ambulant).
Hier werden Beweglichkeit, Kraft, Koordination und Gangbild gezielt trainiert.
Die meisten Patientinnen und Patienten können nach 6 bis 12 Wochen wieder weitgehend selbstständig gehen und ihren Alltag bewältigen.
Moderne Knieprothesen haben eine sehr gute Haltbarkeit: In über 90 % der Fälle sind sie nach 15–20 Jahren noch voll funktionsfähig.
Die meisten Patientinnen und Patienten berichten über:
Sportarten mit geringer Stoßbelastung (Radfahren, Schwimmen, Wandern, Langlaufen) sind in der Regel problemlos möglich. Hochbelastende Sportarten (z. B. Tennis, Joggen, Fußball) sollten vermieden werden.
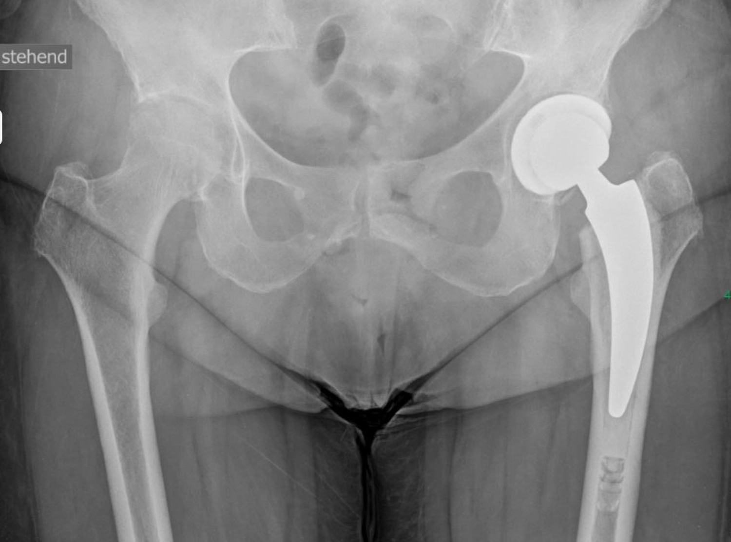
Das Hüftgelenk ist eines der größten und am stärksten belasteten Gelenke des menschlichen Körpers. Mit zunehmendem Alter oder durch Erkrankungen kann es zu einem Verschleiß (Arthrose) oder zu Schädigungen des Gelenkes kommen, die starke Schmerzen und Bewegungseinschränkungen verursachen. Sofern konservative Behandlungen wie Schmerzmedikamente, Krankengymnastik oder Injektionen nicht mehr ausreichen, kann der Ersatz des Hüftgelenkes durch eine Endoprothese notwendig werden.
In Deutschland werden jährlich ca. 230.000 künstliche Hüftgelenke implantiert
Ziele der Operation sind:
Ein künstliches Hüftgelenk wird in der Regel eingesetzt bei:


Ein künstliches Hüftgelenk ersetzt die geschädigten Teile des natürlichen Gelenkes. Es besteht aus mehreren Komponenten, die gemeinsam ein neues, stabiles und bewegliches Gelenk bilden. Die Pfanne wird in das Becken eingesetzt. Der Schaft wird im Oberschenkelknochen verankert. Der Prothesenkopf sitzt oben auf dem Schaft und bildet die „Kugel“ des Gelenkes und bewegt sich reibungsarm in der Pfanne.
Je nach Knochenqualität und Alter der PatientInnen werden zwei Verfahren angewendet.
Bei der zementfreien Prothese werden der Schaft und die Pfanne fest eingepresst und eingeschlagen. Der Knochen wächst in die aufgeraute Oberfläche ein und fixiert die Prothese dauerhaft.
Bei der zementierten Prothese werden die Prothesenteile mit einem speziellen Knochenzement befestigt. Der Vorteil besteht in einer sofortigen Stabilität, besonders geeignet bei älteren oder osteoporotischen PatientInnen.
Daneben gibt es sog. Hybridverankerungen, z. B. Pfanne zementfrei, Schaft zementiert.
Moderne Prothesen, wie wir sie hier in Stenum verwenden, sind so konstruiert, dass sie reibungslos, stabil und langlebig funktionieren, meist über viele Jahre bzw. Jahrzehnte (15–20 Jahre).
Dank der modernen Materialien und gewebeschonenden Techniken des Einbringens, (minimalinvasiver Zugang) ist die Hüft-TEP heute ein sehr erfolgreicher Eingriff, der vielen Menschen eine deutliche Verbesserung ihrer Lebensqualität ermöglicht.
.webp)